Haluksy – najważniejsze informacje. Koniecznie przeczytaj a otrzymasz ulgę w bólu.
Haluksy – najważniejsze informacje
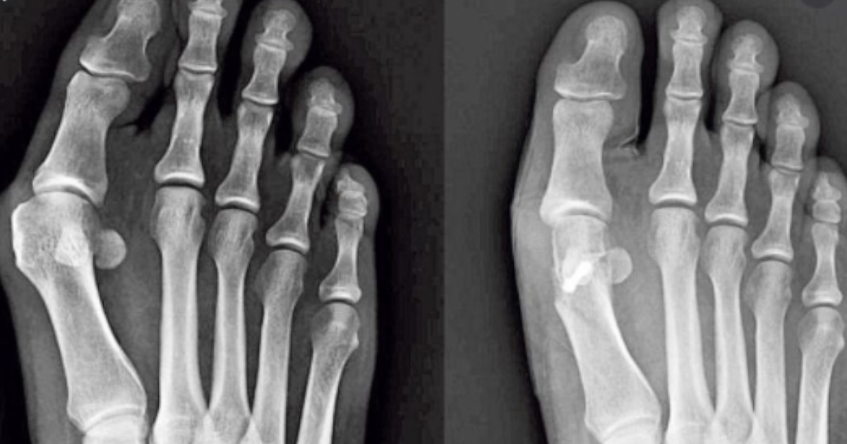
Haluks to kościsty guzek, który tworzy się na stawie u podstawy dużego palca. Występuje, gdy niektóre kości w przedniej części stopy przesuwają się z miejsca. Powoduje to, że czubek dużego palca u nogi zostaje pociągnięty w kierunku mniejszych palców i zmusza staw u podstawy dużego palca do wystania.

Skóra nad guzem może być czerwona i obolała. Noszenie obcisłych, wąskich butów może powodować haluksy lub je pogarszać. Haluksy mogą również rozwinąć się w wyniku kształtu stopy, deformacji stopy lub stanu chorobowego, takiego jak zapalenie stawów. Haluksy tworzą się w stawie.
To tam palec u nogi wygina się normalnie, gdy chodzisz. Ale kiedy masz guzek, cała twoja masa ciała spoczywa na nim za każdym razem, gdy robisz krok. Może boleć, gdy chodzisz. A ponieważ twój but prawdopodobnie ociera się o niego, guz może również powodować powstawanie modzeli.
O tym warto pamiętać!
Haluksy mogą rozwijać się z powodu różnych czynników biologicznych lub środowiskowych, w tym zapalenia stawów, czynników biomechanicznych, zaburzeń nerwowo-mięśniowych, zaburzeń genetycznych i urazów. Stany artretyczne, takie jak reumatoidalne zapalenie stawów, zazwyczaj powodują zapalenie wielu stawów w organizmie i mogą wpływać na staw.
Długotrwałe zapalenie może prowadzić do pogorszenia kości tworzących staw, umożliwiając kościom przesuwanie się i tworzenie haluksu w czasie. Biomechaniczne tworzenie haluksów zwykle występuje z powodu nadmiernej pronacji lub obracania stopy do wewnątrz.
Nadmierna pronacja może wystąpić w wyniku kształtu stopy danej osoby, takiego jak płaskostopie, lub może również wystąpić podczas noszenia wysokich obcasów lub obcisłych butów. Choroby nerwowo-mięśniowe lub zaburzenia, które upośledzają funkcję nerwową i mięśniową danej osoby, mogą powodować niekontrolowane ruchy stóp, które mogą rozluźnić staw, zwiększając ryzyko powstawania guzków.

Podsumowanie
Objawy haluksa obejmują takie kwestie jak:
- Obrzmienie
- Zaczerwienienie
- Czułość, gdy go dotykasz
- Ból, który jest stały lub może przychodzić i odchodzić
- Ograniczony ruch stawu lub palca
- Odciski lub modzele
Haluksy niekoniecznie są genetyczne; jednak niektóre przyczyny haluksów mogą być dziedziczone lub przekazywane od rodziców danej osoby. Na przykład kształt stopy danej osoby jest zazwyczaj przekazywany przez rodziny.
Ponadto niektóre dziedziczne zaburzenia genetyczne mogą zwiększać prawdopodobieństwo powstawania haluksów u danej osoby. Inne zaburzenia, takie jak reumatoidalne zapalenie stawów, mogą występować w rodzinach, a także mogą sprawić, że dana osoba będzie bardziej podatna na rozwój haluksów.
Comments are closed.